Blog
The Impact of Carpal Tunnel Syndrome on Daily Life: Understanding Symptoms and Treatment Options
Published on by The Hand & Plastic Surgery Center of KatyIntroduction Carpal Tunnel Syndrome (CTS) is a prevalent condition affecting millions of individuals worldwide. It occurs when the median nerve, which runs from the forearm into the palm of the hand, Read More…
Skin Cancer Surgery: Safe, Effective, and Personalized Care at The Hand & Plastic Surgery Center of Katy
Published on by The Hand & Plastic Surgery Center of KatyThe Hand & Plastic Surgery Center of Katy, led by Dr. Das, offers personalized, precise skin cancer surgery focusing on safety, comfort, and effective cancer removal with tailored treatment and compassionate care. Continue reading
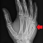
Hand Fracture Treatment and Care
Published on by The Hand & Plastic Surgery Center of KatyHand and Plastics Katy, led by Dr. Das, offers advanced reconstructive hand and wrist surgeries using microvascular and tendon repair innovations, personalized treatment, and compassionate, expert care. Continue reading
Safe and Effective Skin Cancer Removal Techniques: Trust Your Care to Hand and Plastics Katy
Published on by The Hand & Plastic Surgery Center of KatyDr. Das at Hand and Plastics Katy offers precise, personalized skin cancer removal with minimal scarring, compassionate support, and community-focused care for safe, effective treatment. Continue reading
Personalized Surgical Approaches for Wrist Disorders: Your Path to Relief
Published on by The Hand & Plastic Surgery Center of KatyHand and Plastics Katy, led by Dr. Das, offers personalized surgical care for wrist disorders using advanced reconstructive and minimally invasive techniques to ensure faster recovery and improved function. Continue reading
Restoring Function and Confidence after Hand and Wrist fractures
Published on by The Hand & Plastic Surgery Center of Katy
Hand and Plastics Katy offers personalized reconstructive hand and wrist surgery to restore function, boost confidence, and improve quality of life with expert care in Katy, Texas. Continue reading
How To Carve A Pumpkin: Keeping your Hands Safe and Avoiding Nerve and Tendon injuries
Published on by The Hand & Plastic Surgery Center of Katy
Pumpkin carving is a fun activity for both children and adults on Halloween, but carving can be dangerous. Pumpkins are difficult to cut through due to their thick shell, making it easy to cut yourself while carving. Each year, hand Read More…
Understanding Nerve Injuries: Symptoms, Treatments, and Recovery Options for Hands and Wrists
Published on by The Hand & Plastic Surgery Center of Katy
Hand Nerve Injury: Causes and Symptoms Nerve injuries in the hands and wrists can profoundly impact daily life, affecting everything from basic hand functions to overall quality of life. Whether caused by trauma, compression, or repetitive stress, these injuries require Read More…
Understanding Arthritis Treatment Options for Hands and Wrists: Surgical and Non-Surgical Solutions
Published on by The Hand & Plastic Surgery Center of Katy
Comprehensive Arthritis Treatment at Hand and Plastic Surgery Katy Arthritis in the hands and wrists can profoundly impact daily life, causing pain and restricting movement that hampers the ability to perform even the simplest tasks. At Hand and Plastic Surgery Read More…
Keloid Treatments That Can Help You Get Rid of Scars
Published on by The Hand & Plastic Surgery Center of Katy
Keloids are a common issue many people face, but they don’t have to be a permanent part of your skin. There are effective treatments available to help reduce or eliminate keloid scars, restoring your skin’s smooth appearance. If you’re considering Read More…



