Comprehensive Care for Hand and Wrist Fractures in Katy, TX
Conveniently located to serve Katy TX
At The Hand and Plastic Surgery Center of Katy, our certified hand surgeon Dr. Dipan Das can provide patients with fractures of the hand and wrist with the personalized treatment they need to restore the function of their hand and prevent long-term disability.
Understanding Fractures of the Hand and Wrist
Fractures of the upper extremity are one of the most common reasons for ER visits and are oftentimes caused by a fall or sports injury. These must be treated in a timely manner to allow for early return of function and reduce the risk of long-term disability including arthritis, instability, and chronic pain.
I feel blessed to have had the opportunity to have just a knowledgeable doctor. I never felt rushed at my appointment. He always took the time to make sure I understood everything he diagnosed with my broken finger. I have already shared with friends if they needed a hand surgeon The Hand and Plastic Surgery Center of Katy is definitely a doctor to be considered.
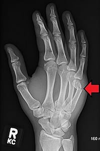
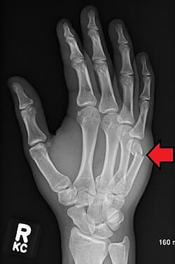
Common Types of Hand and Wrist Fractures
The most common fractures of the upper extremity include finger fractures, hand fractures, and distal radius fractures. Treatment for these fractures varies depending on the location, the type of fracture and the degree of instability.
Signs and Symptoms of Hand and Wrist Fractures
When fractures in the hands and wrists have occurred, the most common symptoms patients experience are swelling and redness. The area with broken or displaced bone may be bruised or tender. The hand may appear deformed if a bone is out of place. Movement may be limited or not possible at all.
If the fingers develop a fracture, you may not be able to move them at all. The affected finger may appear shorter than the rest. Scissoring—the crossing over of the injured finger onto its neighboring digit—may also occur.
Your Consultation and Diagnosis
Hand and wrist fractures will be diagnosed during a consultation with Dr. Das. A physical examination will be performed, and X-rays will be requested to confirm bone fracture. Additional imaging tests such as CT scans and MRI may be needed to determine the severity of the condition.
You may be asked about recent activities that may have caused the fracture. A review of your medical history will be conducted to assess any potential risk factors for the surgery.
Based on all of this information, a highly individualized treatment approach will be developed for you. If surgery is required, a date will be set for your surgical session.
How Fractures of the Hand and Wrist are Treated
At The Hand & Plastic Surgery Center of Katy, our hand surgeons are experienced in treating all types of upper extremity fractures including small joint finger fractures, metacarpal fractures, scaphoid and other wrist fractures, as well as distal radius fractures. They will work with you to obtain the proper diagnosis and determine a tailored treatment plan that fits your needs.
Treatment options for hand and wrist fractures include non-surgical solutions and surgical interventions. A cast, splint, or brace may be used to realign the bone fragments without creating an incision.
For severe fractures, especially in cases where the bone has broken through the skin, screws, pins, staples, or plates may be used to hold the bone pieces together. If the bones are severely crushed, a bone graft may be performed to fill in the gap.
What to Expect from Your Recovery
During your recovery, our physicians exclusively use Certified Hand Therapists to assist in your rehabilitation and to help you restore the function lost by injury. Depending on the treatment administered, the healing process can take several weeks to a few months.
Schedule a Consultation Today
Learn more about your treatment options for hand and wrist fractures in Katy. If you have sustained a fracture of the hand, wrist, or distal radius, please contact our office to schedule a consultation or call our office today at 832-232-HAND (4263) to be evaluated by Dr. Das.






